Sùi mào gà là một căn bệnh da liễu, dễ lây lan và mang đến cảm giác khó chịu đau đớn cho người bệnh. Căn bệnh này có 5 giai đoạn và sẽ có những biểu hiện khác nhau. Sùi mào gà giai đoạn 2 là giai đoạn phát triển, bùng phát của bệnh. Vậy triệu chứng giai đoạn 2 của sùi mào gà như thế nào? Và người bệnh cần lưu ý gì khi không may mắc phải?
Tìm hiểu chung về căn bệnh sùi mào gà
Sùi mào gà hay một số tên gọi khác là mụn cóc sinh dục hoặc hạt cơm sinh dục. Đây là một bệnh lây truyền qua đường tình dục. Bệnh này gây ra bởi 1 loại virus sinh u nhú ở người là virus HPV (Human Papilloma virus). Sùi mào gà là một loại bệnh lây truyền qua đường sinh dục phổ biến nhất.
Sùi mào gà có 2 con đường lây truyền chính. Một là lây qua quan hệ tình dục ( quan hệ trực tiếp, quan hệ bằng đường hậu môn, quan hệ bằng đường miệng). Thứ hai là từ mẹ lây sang con ( qua đường sinh sản). Chưa có bằng chứng khoa học nào xác nhận rằng sùi mào gà có thể lây truyền qua tiếp xúc gián tiếp. Ví dụ như là dùng chung đồ dùng cá nhân của nhau ( bàn chải, khăn mặt, quần áo,…) với người mắc sùi mào gà.

Nhiều người có quan niệm không đúng khi sử dụng bao cao su hoặc chỉ “quan hệ bên ngoài” thì không có nguy cơ lây nhiễm. Điều đó là sai vì sùi mào gà hoàn toàn có thể lây truyền qua tiếp xúc trực tiếp ở vùng da niêm mạc vùng sinh dục với da niêm mạc ở vùng sinh dục của người bị nhiễm virus HPV. Thực tế cho thấy, người nam dùng bao cao su khi quan hệ thì vẫn bị nhiễm bệnh sùi mào gà ở gốc của dương vật.
Xem thêm: Sùi mào gà lây qua đường nào? Có nên khám và điều trị không?
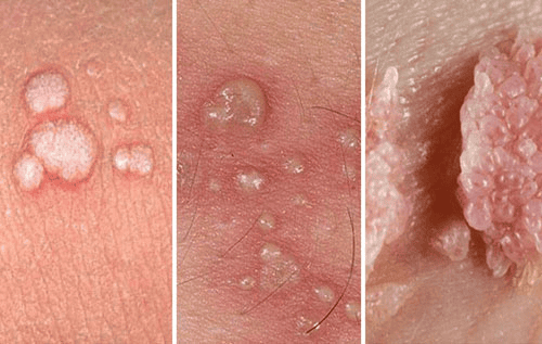
Biểu hiện của bệnh sùi mào gà giai đoạn 2
Căn bệnh sùi mào gà thông thường sẽ trải qua ba giai đoạn, biểu hiện bệnh lý ở từng giai đoạn là khác nhau. Sau khi trải qua thời gian ủ bệnh trong giai đoạn đầu, bệnh sùi mào gà sẽ bước vào giai đoạn phát triển. Đây được gọi là giai đoạn 2.
Biểu hiện dễ nhận biết nhất của bệnh sùi mào gà bước tới giai đoạn 2 là những nốt sần, các mảng sần sùi mọc to hơn và nhiều hơn đáng kể. Những nốt như bọng nước mọc thành chùm trên bề mặt da, sần sùi, hình dáng có thể giống cây nấm, ngón tay hoặc cây súp lơ. Màu sắc có thể trùng màu da, nâu hoặc hồng ở vùng da niêm mạc sinh dục, hậu môn hoặc vùng quanh miệng.
Biểu hiện của sùi mào gà giai đoạn 2
Các nốt sần ban đầu sẽ thường ít gây khó chịu cho những người mắc phải mà bệnh nhân thường chỉ tình cờ phát hiện ra những nốt sần này. Tuy nhiên đến giai đoạn 2 của sùi mào gà, các nốt sần gây ra khá nhiều sự bất tiện và có mùi hôi khó chịu.
Không chỉ gây nên sự thiếu thẩm mỹ, cơ thể người bệnh bắt đầu xuất hiện những triệu chứng đáng lo ngại. Đó là cảm giác đau khi đi tiểu, đi vệ sinh ra máu hay xuất hiện đau đớn mỗi khi quan hệ.
Xem thêm: [Giải đáp] Bệnh sùi mào gà phát triển trong bao lâu?
Làm thế nào để phát hiện bệnh sùi mào gà giai đoạn 2?
Giai đoạn phát triển của bệnh sùi mào gà đã xuất hiện các triệu chứng rõ ràng hơn và cũng nguy hiểm hơn. Bởi vậy mà cần phát hiện căn bệnh này càng sớm càng tốt và điều trị kịp thời.
Quan sát bằng mắt thường
Các nốt sần sùi mào gà phát triển thành các khối u có kích thước lớn ( thường khoảng vài centimet). Do đó các bác sĩ sẽ dễ dàng nhận biết bệnh qua thăm khám lâm sàng. Vậy nhưng khi ở giai đoạn đầu khi kích thước các nốt sần nhỏ rất khó phát hiện bằng mắt thường. Lúc này sẽ cần phải thực hiện 1 vài xét nghiệm cần thiết.
Sử dụng dung dịch axit axetic để xét nghiệm vật mẫu
Các bác sĩ dùng axit axetic nồng động thấp bôi vào vùng sinh dục, môi lưỡi và những vùng có nghi ngờ bệnh. Sau khi chờ từ 2 đến 5 phút nếu các nốt sần chuyển sang màu trắng thì có nghĩa bệnh nhân đã mắc sùi mào gà.
Virus HPV gây nên bệnh sùi mào gà
Soi cổ tử cung
Với bệnh nhân nữ, bác sĩ sẽ sử dụng dụng cụ mỏ vịt để mở âm đạo. Sau đó tiến hành dùng thiết bị chuyên khoa để soi cổ tử cung. Việc này giúp phát hiện những tổn thương hoặc những thay đổi trong cổ tử cung.
Tầm soát ung thư cổ tử cung
Biện pháp này dành riêng cho bệnh nhân nữ. Như đã nêu trên nguyên nhân chính gây ra sùi mào gà và ung thư cổ tử cung do virus HPV. Các bác sĩ sẽ xét nghiệm mẫu tế bào lấy từ cổ tử cung cho chủng HPV gây ra ung thư gây ra. Phương pháp này có độ chính xác khá cao từ 90-95%
Khi bị sùi mào gà giai đoạn 2 cần lưu ý điều gì?
Dựa vào tính trạng và mức độ phát triển của bệnh, người bệnh sẽ được chỉ được điều trị bằng những phương pháp khác nhau. Tuy nhiên, người nhiễm bệnh sùi mào gà cần lưu ý một số vấn đề sau đây:
- Không được dùng chung đồ dùng sinh hoạt với những người xung quanh. Và ngược lại, đồ dùng của bản thân cũng không được cho người khác sử dụng.
- Loại bỏ các loại đồ uống có cồn như bia, rượu và các chất kích thích.
- Người bệnh nên xây dựng một chế độ ăn uống, nghỉ ngơi hợp lý, để cơ thể khỏe mạnh, nhằm kiểm soát bệnh sùi mào gà một cách chủ động.
- Người bị sùi mào gà sẽ phải trải qua một quá trình điều trị dài, đòi hỏi sự kiên trì và tâm lý ổn định. Không được bỏ dở quá trình điều trị. Bởi việc này sẽ gây nên những ảnh hưởng không tốt tới kết quả hồi phục của người bệnh.
- Luôn tuân thủ các chỉ định của bác sĩ điều trị và tái khám thường xuyên, đúng lịch. Việc này giúp bác sĩ nắm rõ được mức độ phát triển của căn bệnh. Từ đó đưa ra các phương pháp điều trị một cách hiệu quả nhất.
- Hạn chế hoặc không quan hệ tình dục trong suốt quá trình điều trị bệnh sùi mào gà. Bởi việc quan hệ tình dục khi đang bị bệnh có thể làm lây lan bệnh cho người khác. Hơn thế nữa bản thân cũng sẽ mắc phải một số loại viêm nhiễm.
- Không nên điều trị tại các phòng khám chui, trình độ và chất lượng không tốt. Người bệnh nên tìm đến những nơi uy tín, có đội ngũ bác sĩ tốt, thiết bị máy móc hiện đại. Để có những phác đồ điều trị phù hợp và tối ưu nhất.
Nên điều trị bệnh sùi mào gà giai đoạn 2 ở đâu uy tín, chất lượng?
Khi bị sùi mào gà giai đoạn 2, người bệnh cần đến cơ sở y tế uy tín để được thăm khám và điều trị kịp thời. Tuy nhiên để bệnh tình có thể tiến triển nhanh chóng thì còn phụ thuộc vào phác đồ điều trị của từng cơ sở y tế. Bởi vậy mà việc lựa chọn được một nơi uy tín, chất lượng để gửi gắm cũng không phải dễ.

Phòng khám đa khoa Galant uy tín chất lượng
Phòng khám đa khoa Galant là một địa chỉ uy tín, chất lượng chuyên chữa trị bệnh sùi mào gà mà các bạn nên ghé tới. Hiểu được tâm lý của người bệnh luôn e dè, xấu hổ, đội ngũ bác sĩ tại phòng khám không chỉ có chuyên môn cao mà còn tận tâm và ân cần. Ý kiến của bệnh nhân luôn được đặt lên hàng đầu, mang tới giải pháp tốt nhất và hiệu quả nhất
Nhận thấy đầu tư về hệ thống y bác sĩ chuyên nghiệp là chưa đủ. Phòng khám đa khoa Galant còn chú trọng vào các thiết bị y khoa. Các trang thiết bị hiện đại đạt tiêu chuẩn tốt nhất, đạt độ chính xác cao. Bởi vậy người bệnh không cần lo về vấn đề sai số trong lúc thăm khám. Chi phí điều trị luôn ổn định và có nhiều ưu đãi nên bệnh nhân hoàn toàn yên tâm trải nghiệm dịch vụ tại đây.
Xem thêm: Galant – Xét nghiệm sùi mào gà cho kết quả nhanh và chính xác
Khi bị sùi mào gà giai đoạn 2 người bệnh không nên quá hoang mang, suy nghĩ tiêu cực. Bởi nhờ vào sự phát triển của y học hiện đại, căn bệnh này có thể chữa khỏi mà không để lại biến chứng nguy hiểm. Nếu phát hiện ra những triệu chứng đáng nghi nào, hãy đến ngay các cơ sở y tế uy tín để được thăm khám và điều trị kịp thời. Luôn giữ cho mình một tâm lý ổn định để vượt qua căn bệnh sùi mào gà này nhé!
Các bài viết liên quan:
Sùi mào gà vùng kín có điều trị dứt điểm được không?
Vắc xin sùi mào gà liệu có hiệu quả không? Công dụng hiệu quả ra sao?
[Giải Đáp] Chắc có lẽ bạn chưa biết sùi mào gà là HPV tuýp mấy?






